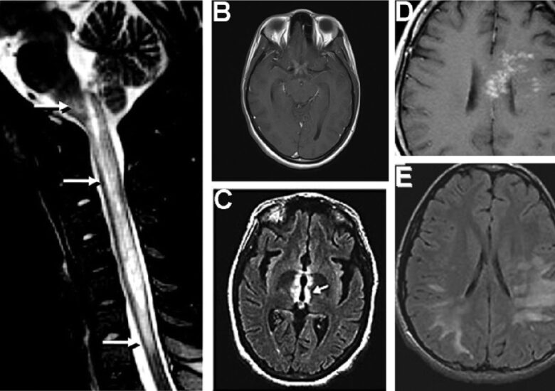
Ce trebuie să știți despre scleroza multiplă la bărbați
Scleroza multiplă (SM), o afecțiune care afectează sistemul nervos central, este mult mai frecventă la femei decât la bărbați, dar există totuși un risc. Sexul și genul există pe spectre.