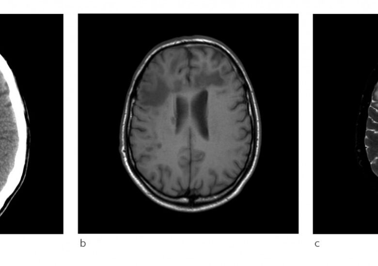
O prezentare generală a leucoencefalopatiei multifocale progresive (LMP). O infecție gravă a creierului
Leucoencefalopatia multifocală progresivă (LMP) este o boală gravă în care virusul John Cunningham (JC) infectează mai multe zone ale creierului, dăunându-l pe măsură ce infecția se agravează rapid și provocând