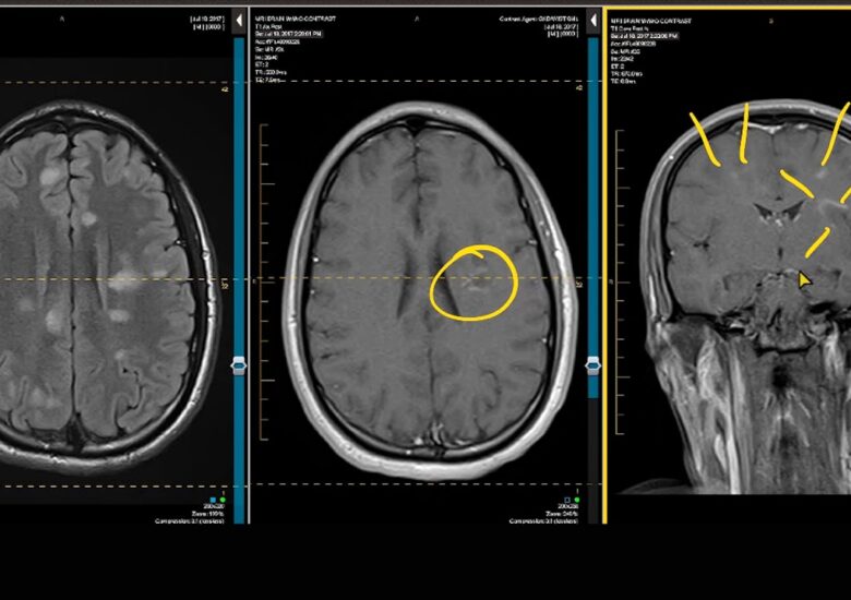
Scleroza multiplă și spasticitatea
Spasticitatea este un simptom al sclerozei multiple (SM) care provoacă rigiditate musculară involuntară și spasme. SM apare atunci când sistemul imunitar al corpului atacă în mod eronat teaca de mielină,